Ever notice that as you get older, some foods no longer sit with you the same? This could be due to a breakdown of the intestinal epithelium, a single layer of cells that forms the organ’s lining. The intestine plays a crucial role in many health functions, including digestion. Under normal conditions, the entire intestinal epithelium typically regenerates every three to five days. However, with damage from old age or cancer radiation, regeneration can stop or slow. That can lead to inflammation and diseases like leaky gut syndrome.
Now, Cold Spring Harbor Laboratory (CSHL) biologists have devised a new way to stimulate cell growth and repair in the intestine. The key to their success is CAR T-cell therapy, a new form of immunotherapy. Their approach could help lay the groundwork for clinical trials aimed at improving gut health in patients with certain age-related conditions.
The development builds on a recent breakthrough from CSHL Assistant Professor Corina Amor Vegas, whose lab specializes in cellular senescence. As we age, our body accumulates cells that stop replicating but don’t die. Senescent cells have been linked to a range of age-related diseases, from diabetes to dementia. Amor Vegas’ lab previously engineered special immune cells called anti-uPAR CAR T cells to eliminate senescent cells in mice, thereby greatly improving the animals’ metabolism.

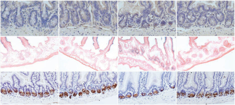
The question was whether targeting senescent cells in this way might help rejuvenate the intestine. To test the idea, Amor Vegas teamed with CSHL Assistant Professor Semir Beyaz and grad student Onur Eskiocak. The team administered CAR T cells to the intestines of both old and younger mice. “In both cases, we see really significant improvements,” Amor Vegas says. “They’re able to absorb nutrients better. They have much less inflammation. When irritated or injured, their epithelial lining is able to regenerate and heal much faster.”
Leaky gut syndrome is especially common in cancer patients undergoing pelvic or abdominal radiation therapy. The team simulated this kind of therapy by irradiating the mice’s epithelial cells. They found that mice treated with CAR T cells recovered from radiation much better than those that didn’t receive CAR T cells. Importantly, just one administration of CAR T-cell therapy improved the mice’s gut health for at least a year.
The team also found strong evidence that anti-uPAR CAR T cells promote regeneration in human intestinal and colorectal cells, Eskiocak notes. Exactly how this works remains to be determined. Nevertheless, the results are extremely encouraging. “This is one good step toward a long journey in understanding how we can better heal the elderly,” Beyaz said.
Written by: Margaret Osborne, Science Writer | publicaffairs@cshl.edu | 516-367-8455
Funding
National Cancer Institute, Fundación Rafael del Pino Scholarship Program, National Institutes of Health, The Mark Foundation for Cancer Research, Memorial Sloan Kettering Cancer Center, The Oliver S. and Jennie R. Donaldson Charitable Trust, The G. Harold & Leila Y. Mathers Foundation, Starr Cancer Consortium, Chan Zuckerberg Initiative, Silicon Valley Community Foundation, CSHL-Northwell Health Affiliation, Norn Group, National Institute of Aging
Citation
Eskiocak, O., et al., “Anti-uPAR CAR T cells reverse and prevent aging-associated defects in intestinal regeneration and fitness”, Nature Aging, November 25, 2025. DOI: 10.1038/s43587-025-01022-w
