A high-fat diet increases the incidence of colorectal cancer. Cold Spring Harbor Laboratory Fellow Semir Beyaz and collaborators from Harvard Medical School and Massachusetts Institute of Technology have discovered that in mice, fat disrupts the relationship between intestinal cells and the immune cells that patrol them looking for emerging tumors. Reconfiguring the gut microbiome may be a way to heal the relationship.

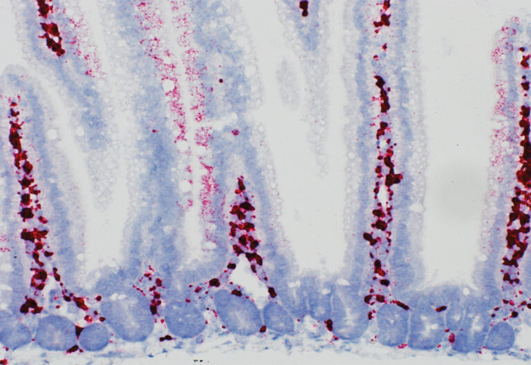
The researchers found that a high-fat diet changed the mouse’s intestinal microbiome (the mixture of microbes in the gut). Several bacteria, including ones called Helicobacter, increase MHC-II, which may help immune cells locate abnormal cells. The team did a “dirty roommate” experiment where mice without these bacteria were housed with ones that had it. The “clean” mice became infected with the Helicobacter bacteria and produced more of the MHC-II tag.
The scientists’ findings suggest a new way to boost current immunotherapy treatments against cancer. Increasing the production of this MHC-II tag, either by diet, drugs, or changing the microbes in the body, can help the immune system recognize and eliminate cancer cells. Beyaz says:
“This interaction between diet, microbes, and immune recognition has the potential to help us explain how lifestyle factors can contribute to tumor initiation, progression, or response to therapy.”
Cancer cells use many tricks to avoid being recognized as abnormal by the immune system, but Beyaz hopes he’s found several ways to outwit them.
Written by: Luis Sandoval, Communications Specialist | sandova@cshl.edu | 516-367-6826
Funding
National Cancer Institute, Oliver S. and Jennie R. Donaldson Charitable Trust, Mathers Foundation, STARR Cancer Consortium, Mark Foundation For Cancer Research, National Institutes of Health, Massachusetts Institute of Technology Stem Cell Initiative, Pew Foundation, Howard Hughes Medical Institute, American Association of Immunologists Career Reentry Fellowship
Citation
Beyaz, S., et al., “Dietary suppression of MHC class II expression in intestinal epithelial cells enhances intestinal tumorigenesis”, Cell Stem Cell, September 15, 2021. DOI: 10.1016/j.stem.2021.08.007
